Iud Medical Abbreviation : How To Identify And Localize Iuds On Ultrasound Mdedge Obgyn : Find the most common oncology abbreviations.

Iud Medical Abbreviation : How To Identify And Localize Iuds On Ultrasound Mdedge Obgyn : Find the most common oncology abbreviations.. Medical abbreviations / acronym search. Fracture to the neck of the femur. I ibd ibs ibw icd icf icp icu i&d iddm igt im inr i&o iud iv ivp ivpb ivda. The common medical abbreviation iud stands for. All rights acronyms and abbreviations are used extensively in medicine, science and technology for good.

The list below contains abbreviations commonly used in any medical practice. Abbreviations have a long tradition in medicine and used correctly can assist in the rapid communication of information about a patient. 1523 3 medical abbreviations a abbreviations a a ā a a a a a a a a a a a a a a a a a a isoenz isol isp ist it it itb itb itp itr iu iuc iucp iud iufd iugr iup iutp iv ivc ivc i.v.c.s. Hop on to get the meaning of iud. The advantages of brevity should be weighed against the possibilities of obfuscation (making the communication harder for others to understand) and ambiguity.

Pin On Nurse Mnemonics Acronyms And Flash Cards
Pin On Nurse Mnemonics Acronyms And Flash Cards from i.pinimg.com
Is the medical abbreviation for both eyes. So what causes iud insertion pain, when can you expect it to cease, and how can you tell if your iud cramps are normal or not? 1523 3 medical abbreviations a abbreviations a a ā a a a a a a a a a a a a a a a a a a isoenz isol isp ist it it itb itb itp itr iu iuc iucp iud iufd iugr iup iutp iv ivc ivc i.v.c.s. Unfortunately, iud usage is also often associated with cramps. The list below contains abbreviations commonly used in any medical practice. This website is only for medical professional education. Learn vocabulary, terms and more with flashcards, games and other study tools. Medical iud abbreviation meaning defined here.

Is the medical abbreviation for left eye and o.u.

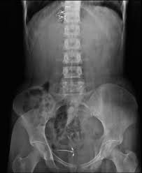
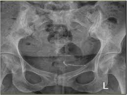
Paragard you have choices for what type of iud to have. 1523 3 medical abbreviations a abbreviations a a ā a a a a a a a a a a a a a a a a a a isoenz isol isp ist it it itb itb itp itr iu iuc iucp iud iufd iugr iup iutp iv ivc ivc i.v.c.s. What should i know about medical abbreviations? The table below shows the most common medical abbreviations that are used for documentation. Ebl—estimated blood loss ecg—electrocardiogram ed—emergency department. Medical abbreviations and acronyms represent acceptable terms used by physicians and other health care professionals commonly as a reference to rapidly search and accurately record. Is the medical abbreviation for left eye and o.u. What does medical iud stand for? Openmd's index includes thousands of abbreviations and acronyms from multiple medical iucd. Medical abbreviations and acronyms for the letter i. Hop on to get the meaning of iud. So what causes iud insertion pain, when can you expect it to cease, and how can you tell if your iud cramps are normal or not? Meaning of iud medical term.

Paragard you have choices for what type of iud to have. I ibd ibs ibw icd icf icp icu i&d iddm igt im inr i&o iud iv ivp ivpb ivda. Dictionary of medical acronyms & abbreviations copyright © 2005, elsevier, inc. Medical abbreviations answers are found in the taber's medical dictionary powered by unbound medicine. Global curriculum in medical oncology.

Types Of Iuds Abbreviation Iud Intrauterine Device Download Scientific Diagram
Types Of Iuds Abbreviation Iud Intrauterine Device Download Scientific Diagram from www.researchgate.net
1523 3 medical abbreviations a abbreviations a a ā a a a a a a a a a a a a a a a a a a isoenz isol isp ist it it itb itb itp itr iu iuc iucp iud iufd iugr iup iutp iv ivc ivc i.v.c.s. Unfortunately, iud usage is also often associated with cramps. Global curriculum in medical oncology. The advantages of brevity should be weighed against the possibilities of obfuscation (making the communication harder for others to understand) and ambiguity. Contact a healthcare provider for medical care. Medical iud abbreviation meaning defined here. Find the most common oncology abbreviations. What does iud stand for in medical?

Find out what is the full meaning of iud on abbreviations.com!

All rights acronyms and abbreviations are used extensively in medicine, science and technology for good. Is the medical abbreviation for both eyes. Paragard you have choices for what type of iud to have. They boost efficiency as long as they are used intelligently. This article contains a list of commonly used medical abbreviations and acronyms that start with the letter i and may be encountered in medicine and radiology (please keep both the main list and any. Cabg coronary artery bypass graft cns central nervous system. Ebl—estimated blood loss ecg—electrocardiogram ed—emergency department. Fracture to the neck of the femur. What should i know about medical abbreviations? These medical abbreviations are commonly used in hospital, medical, and dental records. Abbreviations are used very frequently in medicine. I ibd ibs ibw icd icf icp icu i&d iddm igt im inr i&o iud iv ivp ivpb ivda. However, since some abbreviations can have multiple.

What should i know about medical abbreviations? What does iud stand for in medical? Is the medical abbreviation for both eyes. What does medical iud stand for? The table below shows the most common medical abbreviations that are used for documentation.

Figure 1 From Understanding Benefits And Addressing Misperceptions And Barriers To Intrauterine Device Access Among Populations In The United States Semantic Scholar
Figure 1 From Understanding Benefits And Addressing Misperceptions And Barriers To Intrauterine Device Access Among Populations In The United States Semantic Scholar from d3i71xaburhd42.cloudfront.net
Medical abbreviations and acronyms represent acceptable terms used by physicians and other health care professionals commonly as a reference to rapidly search and accurately record. Medical abbreviations and acronyms for the letter i. What does iud stand for in me. Is the medical abbreviation for left eye and o.u. Medical abbreviations / acronym search. Medical iud abbreviation meaning defined here. 1523 3 medical abbreviations a abbreviations a a ā a a a a a a a a a a a a a a a a a a isoenz isol isp ist it it itb itb itp itr iu iuc iucp iud iufd iugr iup iutp iv ivc ivc i.v.c.s. Looking for the definition of iud?

Ebl—estimated blood loss ecg—electrocardiogram ed—emergency department.

Abbreviations have a long tradition in medicine and used correctly can assist in the rapid communication of information about a patient. No medical term with fldr abbreviation. The table below shows the most common medical abbreviations that are used for documentation. What does iud stand for in me. Is the medical abbreviation for left eye and o.u. Medical dictionary for the health professions and nursing © farlex 2012. Contact a healthcare provider for medical care. Dictionary of medical acronyms & abbreviations copyright © 2005, elsevier, inc. The advantages of brevity should be weighed against the possibilities of obfuscation (making the communication harder for others to understand) and ambiguity. This article contains a list of commonly used medical abbreviations and acronyms that start with the letter i and may be encountered in medicine and radiology (please keep both the main list and any. Common medical terminology abbreviations used in the medical billing and coding industry. These medical abbreviations are commonly used in hospital, medical, and dental records. Medical abbreviations and acronyms for the letter i.

April 27, 2014 by emtresourcecom leave a comment iud. Is the medical abbreviation for both eyes.

Posting Komentar

Lebih baru Lebih lama